Osteoarthritis sendi lutut (Gonar Rose) adalah penyakit degeneratif di mana tulang rawan lebih kurus. Menurut statistik, setiap penduduk kelima di planet ini mengalami patologi ini. Artikel ini akan mengambil kira punca utama osteoarthritis, gejala -gejala di setiap peringkat serta kaedah diagnosis dan rawatan.
Punca
Setiap hari, sendi lutut mengalami beban besar semasa berjalan. Lagipun, mereka perlu menahan jisim seluruh badan. Akibatnya, terdapat haus tisu tulang rawan secara beransur -ansur, yang merupakan punca perubahan patologi di lutut.
Kumpulan risiko termasuk orang:
- Orang tua,
- mengalami berat badan berlebihan,
- Mempunyai osteoporosis dan gangguan metabolik,
- Saya pernah menerima kecederaan lutut,
- mewakili profesion tertentu,
- Menderita mikro, kekurangan,
- sibuk dengan sukan berat.

Di kebanyakan orang berusia 40 tahun, kehadiran osteoarthritis boleh didapati di peringkat kedua atau lebih baru.
Gejala utama
Sudah tentu, perubahan dalam tisu tulang rawan tidak boleh berlaku tanpa gejala. Satu orang boleh mengadu dengan penyakit:
- Perasaan tidak selesa di lutut setelah bangun dalam kedudukan duduk atau panjang
- Sakit di kaki selepas kedudukan yang panjang,
- Perasaan yang terbakar ketika memanjat gunung dan naik tangga,
- Kelemahan di kaki selepas beban cahaya dan pada penghujung hari.
- Sesetengah pesakit juga bimbang pada waktu malam.
Penting! Penyakit ini tidak berlaku dengan ketara, ia berkembang selama bertahun -tahun. Kesakitan di peringkat pertama boleh menjadi tidak penting, tetapi ia selalu penting dari masa ke masa.
Arthrosis lutut sendi 1 darjah
Gonarthrosis kini sedang dibangunkan pada peringkat ini, jadi proses untuk satu orang hampir tanpa gejala. Walau bagaimanapun, beberapa tanda masih boleh dilihat.
Satu orang sering merasakan keletihan di kaki, perhatikan sedikit penurunan dalam pergerakan satu atau dua sendi lutut. Fenomena ini amat penting pada waktu pagi, pada minit pertama selepas kebangkitan.
Sebagai peraturan, diagnosis penyakit berlaku pada tahap ini secara kebetulan semasa x -dispute. Doktor dapat melihat beberapa penyelewengan pada tulang rawan ini. Ia juga mungkin untuk menyempitkan lumen di antara bahagian -bahagian sambungan.
Arthrosis lutut sendi 2 darjah
Patologi sendi lutut nampaknya lebih jelas. Kemunculan sindrom kesakitan adalah ciri, yang diprovokasi oleh beban tambahan sendi.
Rujukan. Pada peringkat ini, kesakitan adalah bebas selepas rehat yang panjang.
Di samping itu, gejala seperti:
- Kristal dengan pergerakan tertentu. Ia boleh diperhatikan di kedua -dua lutut. Kerentanan itu tidak dapat dilihat, tetapi secara beransur -ansur ia memperoleh watak yang kasar, kuat dan sangat berbeza.
- Pengurangan keupayaan untuk membengkokkan sepenuhnya kaki di lutut anda. Sesetengah orang hanya boleh melakukan ini dengan sudut 90 darjah, maka perasaan yang tidak menyenangkan berlaku dan mereka terpaksa berhenti.
- Sesetengah pesakit dengan gonar naik peringkat ke -2 mengadu tentang kejadian sakit tajam yang berlaku apabila sendi lutut bengkok.
- Adalah mungkin untuk mengubah bentuk sendi lutut, ia menjadi lebih luas dan membengkak. Ini disebabkan oleh pengumpulan cecair patologi.

Jika gejala ditentukan di kawasan lutut, anda mesti berunding dengan doktor supaya dia menetapkan rawatan yang betul.
Arthrosis lutut 3 darjah
- Pada peringkat ini, perubahan rawan struktur yang sangat kuat diperhatikan pada sendi sendi. Pertumbuhan, yang mempunyai saiz yang besar, muncul di atasnya.
- Kelengkungan kaki yang terjejas telah ditentukan. Ia menerima selekoh berbentuk 0 atau berbentuk X yang menjadi halangan yang serius untuk jangka hayat pesakit. Akibatnya, seseorang boleh menjadi orang kurang upaya.
- Fenomena ciri -ciri tahap ke -3 penyakit ini adalah kesakitan yang serius yang dapat diperhatikan dan diperkuat selepas apa -apa, walaupun sedikit tekanan.
- Satu orang menyedari kepekaan sendi berbanding dengan perubahan cuaca. Sekarang bahawa siklon mendekati, lutut di mana lutut menarik sakit.

Dengan usia, sendi bertindak balas terhadap perubahan cuaca dan tekanan.
Arthrosis sendi lutut 4 darjah
Ia adalah tahap akhir penyakit yang melampau di mana jurang antara tulang hilang sepenuhnya.
Rujukan. Kebanyakan pakar bedah ortopedik menyifatkan tahap keempat ke tempat ketiga. Ini disebabkan oleh persamaan gejala dan kerumitan diagnosis yang tepat pada masanya.
Oleh kerana kekurangan jurang diperhatikan, pergerakan sendi adalah mustahil.
Di samping itu, pesakit diseksa oleh kesakitan yang tidak dapat ditanggung, yang hanya dibebaskan oleh penghilang kesakitan yang teruk. Tetapi selepas masa apabila kesan tablet atau suntikan berhenti, terdapat satu lagi gejala yang tidak menyenangkan.
Diagnosis
Pemeriksaan pesakit bermula dengan permintaannya untuk mendapatkan bantuan daripada pakar. Anda boleh menjadi ahli terapi atau ortopedis.
Doktor mendengar gejala, mengumpul anamnesis dan menjalankan peperiksaan. Pertama sekali, dia akan berminat dengan perubahan luaran dalam sendi, sekatan mobiliti di kawasannya.

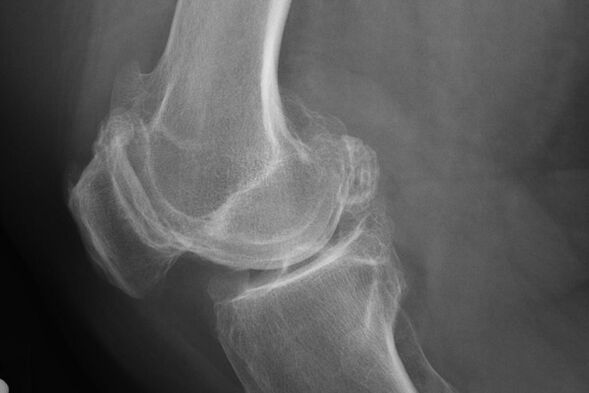
X -ray membantu mengenal pasti penyimpangan dalam tulang rawan.
Semasa ujian, pesakit mengadu tentang penampilan sensasi yang tidak menyenangkan, dan masalah didengar dengan bersinar dari suci lutut.
Penting! Diagnosis tidak mungkin selepas pemeriksaan visual doktor, walaupun dengan semua tanda -tanda penyakit. Hanya peperiksaan yang komprehensif yang membolehkan anda memberikan jawapan yang tepat kepada patologi yang mengalir di lutut.
Selepas peperiksaan, doktor menetapkan radiografi pesakit. Ini adalah kaedah utama untuk mendiagnosis osteoarthritis sendi lutut dari mana -mana darjah.
X -ray memberikan Doktor idea tentang perubahan dalam tulang rawan sendi. Walau bagaimanapun, dalam beberapa kes, fasa awal tidak dapat ditakrifkan dalam gambar.
Sekiranya perlu, doktor boleh menetapkan laluan berulang dari pencitraan resonans X-ray atau aritmetik dan magnetik.
Rawatan
Rawatan segera harus bermula ketika mendiagnosis gonarthrosis. Ini akan membantu menghentikan kemajuan patologi dan menghalang banyak komplikasi.
Terapi penyakit ini mengejar beberapa matlamat pada masa yang sama. Iaitu:
- Penghapusan Sindrom Sakit,
- Penerimaan keparahan gejala lain,
- Pemulihan maksimum rawan yang terjejas dan ligamen sendi,
- Peningkatan dalam pergerakan anggota badan.
Rawatan penyakit ini termasuk kaedah seperti:
- Terapi farmaseutikal,
- Urut, osteopati, terapi manual,
- Campur tangan pembedahan,
- Pendidikan Jasmani Perubatan dan Pencegahan,
- Fisioterapi.
Penjagaan dadah
Rujukan. Terapi ubat adalah kaedah utama untuk rawatan penyakit ini. Walau bagaimanapun, ia adalah yang paling berjaya dalam kombinasi dengan kaedah lain.
Ubat untuk rawatan gonarthrosis termasuk:
- Ubat anti -stabil bukan ssteroid- Melegakan pesakit kesakitan, melegakan keradangan. Ubat -ubatan ini adalah bahan -bahan aktif gejala tanpa mempengaruhi punca penyakit ini. Mereka hanya bertarung dengan manifestasinya dan buat sementara waktu.
- Chondroprotectors - Pulihkan rawan. Walau bagaimanapun, kesannya tidak dapat dilihat dengan segera. Ubat ini mempunyai sifat kumulatif (terkumpul), jadi badan memerlukan masa untuk kesan penuh mereka.
- Ubat hormon. Mereka biasanya ditetapkan dengan penyakit canggih. Dana ini dengan cepat boleh melegakan bengkak dan keradangan tisu di sekitar sendi. Kelemahan kelas ubat ini adalah kesan sistemik pada badan, di mana banyak kesan sampingan yang tidak diingini mungkin. Mereka hanya ditetapkan dalam satu program semasa pengetatan proses.
- Ubat luaran, dibangunkan untuk melegakan kesakitan. Diterbitkan dalam bentuk salap, krim.
- Asid hyaluronik. Ia adalah penyelesaian baru dalam merawat Gonar Rose. Ia adalah pengenalan intra -karticular yang memberi makan sendi. Ia mempunyai kecekapan yang agak tinggi. Walau bagaimanapun, kaedah ini dicirikan oleh kecacatan seperti: kemungkinan penggunaan hanya pada peringkat awal penyakit dan kos tinggi ubat.
Penting! Pengenalan produk perubatan ke dalam jurang biasa tidak lagi dibenarkan dalam 7-10 hari.
urut
Urut serta rawatan manual dan osteopati adalah berdasarkan:
- Caj kesakitan,
- Mengatasi kekakuan pergerakan di lutut,
- Meningkatkan bekalan darah di lokasi tulang rawan,
- Nutrien dan oksigen dalam bidang keradangan.
Rujukan. Urut dan prosedur yang serupa hanya boleh dilakukan oleh satu orang yang mempunyai latihan khas. Jika tidak, anda boleh merosakkan dan membuat keadaan sendi lebih teruk.
Campur tangan pembedahan
Ia adalah ukuran yang melampau dalam rawatan osteoarthritis jika penyakit ini sangat diabaikan dan kaedah terapi lain tidak berdaya. Kebanyakan masa, endoprosthetics digunakan di mana sambungan yang terjejas digantikan oleh implan.
Prosthetics boleh menjadi dua jenis:
- penuh - keseluruhan sambungan diganti
- Sebahagiannya - hanya bahagian terbaik sendi bersama diganti.
Contraindications untuk prostetik adalah:
- Jangkitan purulen kronik;
- gangguan neuromuskular;
- Patologi vena;
- Sejumlah penyakit kardiovaskular.
Pilihan lain ialah osteotomi pembetulan. Dengan kaedah ini, plat dimasukkan ke dalam sambungan, yang mengurangkan tekanan pada kawasan yang terjejas lutut.
Terapi Latihan
Ia adalah pelaksanaan biasa dan betul satu siri latihan fizikal yang bertujuan untuk mengukuhkan sendi dan memulihkan mobiliti anda.
Prosedur ini boleh dijalankan secara bebas di rumah selepas menghubungi pakar untuk mendapatkan nasihat.
pencegahan
Berikutan peraturan mudah menghalang kejadian atau memburukkan kemusnahan tulang rawan. Untuk ini mereka perlukan:
- Ikuti diet. Ini akan menyumbang kepada kawalan berat badan, membekalkan badan semua vitamin dan mineral yang diperlukan.
- Berpegang pada sukan tertentu dan biarkan orang lain. Hakikatnya, beban yang berlebihan pada lutut sangat tidak diingini untuk gonarthrosis. Atas sebab ini, berlari dan melompat boleh digantikan dengan lebih baik dengan berbasikal, berenang atau aquaerobics.
- Menjalankan latihan terapeutik dengan kerap.
- Pakai kasut yang betul dan ortopedik yang betul. Ia tidak boleh diterima untuk memakai terowong dan tumit tinggi, satu -satunya yang lebih suka kasut dengan tumit kecil.
Osteoarthritis sendi lutut adalah penyakit yang agak kerap yang boleh tidak disedari untuk masa yang lama. Walaupun permulaan tanpa gejala, gonarthrosis boleh menyebabkan komplikasi yang serius, iaitu kecacatan. Oleh itu, sangat penting untuk menjalankan diagnosis dalam masa yang baik dan untuk memulakan rawatan yang diperlukan.


















































